
Ask the Expert: An Interview with Dimple Desai, DDS, AAACD, on Universal Composite
By Dimple Desai, DDS, AAACD
Question
What are the most important features you believe most dentists look for in a composite system?
Answer
Question
What handling characteristics do you prefer when deciding on a composite to use in your practice?
Answer
Composite handling should be made simple for the clinician. The clinician has many external factors affecting their treatment prior to handling the composite. That is, the tongue, saliva, contaminants, etc. The characteristics of composite should be made easy for this reason. The composite material should be of moderate stiffness. When a material is too stiff, there is a “wrestling” match, if you will, between the composite and instrument during manipulation. If a composite lacks structure, it will be very hard to manipulate and contour to a desired area of the tooth. Evanesce provides the perfect combination between stiffness, softness and moldability.
Question
Do you benefit from having a selection of opacities to choose from?
Answer
and excellent esthetic result that disappears into the existing tooth surface. This applies to layered or single shade composite restorations being treated.
Question
Do you use the same composite material for both anterior and posterior restorations?
Answer
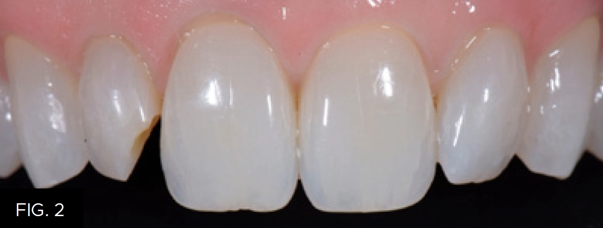
Composite materials, like Evanesce, can be truly universal for both anterior and posterior restorations. The benefit of this is expansive. Slump free and ease of manipulation of the composite material allows you to work in an ideal manner whether it is an anterior or posterior restoration. The nano enhanced property of Evanesce allows it to be used in the posterior because of its high strength. The ease of polishing with high shine ensures a beautiful result. Anterior teeth require a natural blend and Evanesce does just this! The qualities of Evanesce for anterior and posterior usage make it very simple for the clinician and an even more outstanding product.

ABOUT THE AUTHOR
Dr. Dimple Desai is the founder of Luminous Smiles of Newport Beach, a boutique dental practice focusing on rejuvenating patients’ lives through their smiles. She has been recognized locally as Orange County’s Top Dentist for the past three years and was selected as one of the Top 40 Dentists under the age of 40 in the country. Dr. Desai obtained both her Bachelor’s degree in Dental Hygiene and a Doctorate of Dental Surgery from the University of Southern California, and later returned to her Alma Mater as a Clinical Adjunct Professor to educate dental students on the clinic floor. Dr. Desai is also a graduate of the Kois Institute and is an Accredited Member of the American Academy of Cosmetic Dentistry.
Share This Article! Choose Your Platform
Products Mentioned in this article
Related Articles
Ask the Expert: An Interview with Nate Lawson, DMD, PhD on Universal Adhesives
By Nate Lawson, DMD, PhD
What is an universal adhesive? A “universal” adhesive is not a technical term but rather a clinical term. It implies that an adhesive can be used with or without phosphoric acid on dentin or enamel. In scientific writing, these adhesives are sometimes referred to as mild self-etch adhesives because they have a slightly less acidic pH (around 3) than typical self-etch materials (around 2).
Ask the Expert: An Interview with Matthew R. Miller, DDS on Sectional Matrix Systems
By Matthew R. Miller, DDS
There are many sectional matrix systems on the market today. Are some better than others? What should I be looking for when choosing a sectional matrix system?
Ask the Expert: An Interview with Ed Lowe, DMD, AAACD on Soft Tissue Diode Lasers
By Ed Lowe, DMD, AAACD
What type of clinical procedures can be done with a soft tissue diode laser?
Ask the Expert: An Interview with Bob Margeas, DDS on Universal Composites
How do you evaluate the esthetic potential of a composite?
Ask the Expert: An Interview with Dean Vafiadis, DDS on Adjusting and Polishing Zirconia Restorations
How are you currently polishing your zirconia restorations post-adjustment?
Take 5: 5 Restorative Clinicians’ Take On Evanesce Nano-Enhanced Universal Restorative
5 Restorative Clinicians' Take On Evanesce Nano-Enhanced Universal Restorative.









