
5 Restorative Clinicians’ Take On Evanesce Nano-Enhanced Universal Restorative
POLISHABILITY
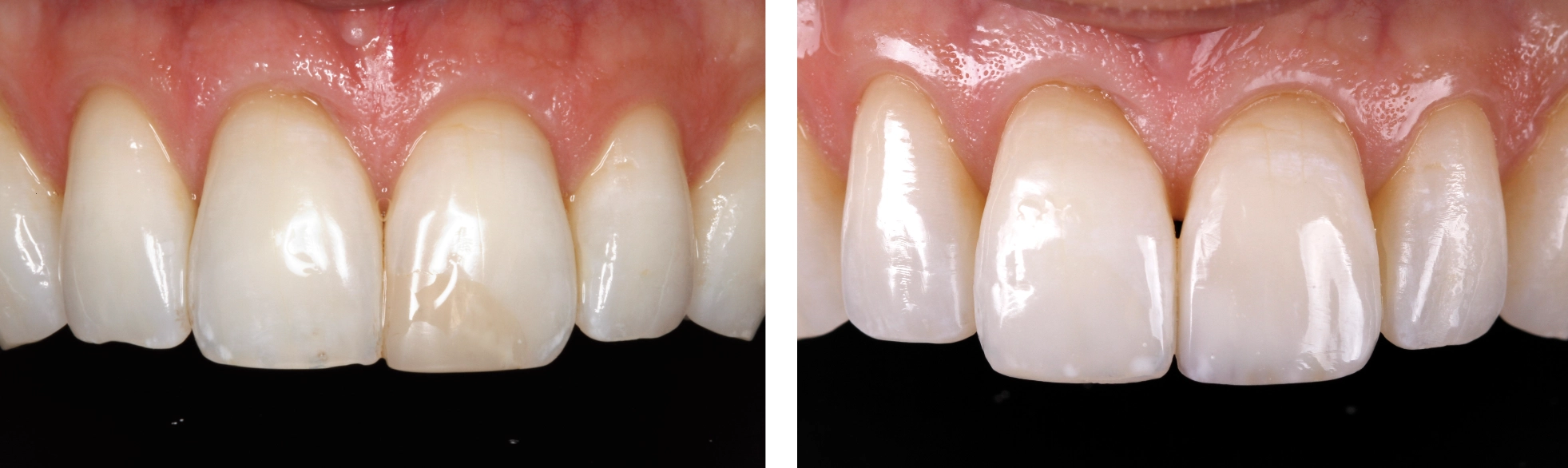
“Evanesce is highly polishable with shades that blend seamlessly into the margins to virtually disappear. In less than 1 minute, in combination with A.S.A.P. Polishers, you can polish Evanesce to a high shine. The best composite restoration is the one that cannot be detected, Evanesce provides that, and a long lasting polish on all my direct restorations.” – Danièle Larose, DMD, AAACD

Dentistry and photography courtesy of Danièle Larose, DMD, AAACD
Dr. Larose is based in St-Laurent, Québec, Canada; her private practice focuses on conservative cosmetic and reconstructive dentistry. She graduated from the University of Montreal in 1997 and is an accredited member of the American Academy of Cosmetic Dentistry.
OPACITIES
“Evanesce is available in the most popular VITA shades with three opacity options: Enamel, Universal and Dentin. The material also comes in three “Enamel FX” shades: White, Incisal and Clear along with two bleach shades for additional shade matching precision. Evanesce’s opacity selection allows for a more enhanced and excellent esthetic result that disappears into the existing tooth surface.” – Dimple Desai, DDS, AAACD
Dr. Desai is the founder of Luminous Smiles in Newport Beach. She obtained both her Bachelor’s degree in Dental Hygiene and a Doctorate of Dental Surgery from the University of Southern California. Dr. Desai is also a graduate of the Kois Institute and is an Accredited Member of the American Academy of Cosmetic Dentistry.
SCULPTABILITY
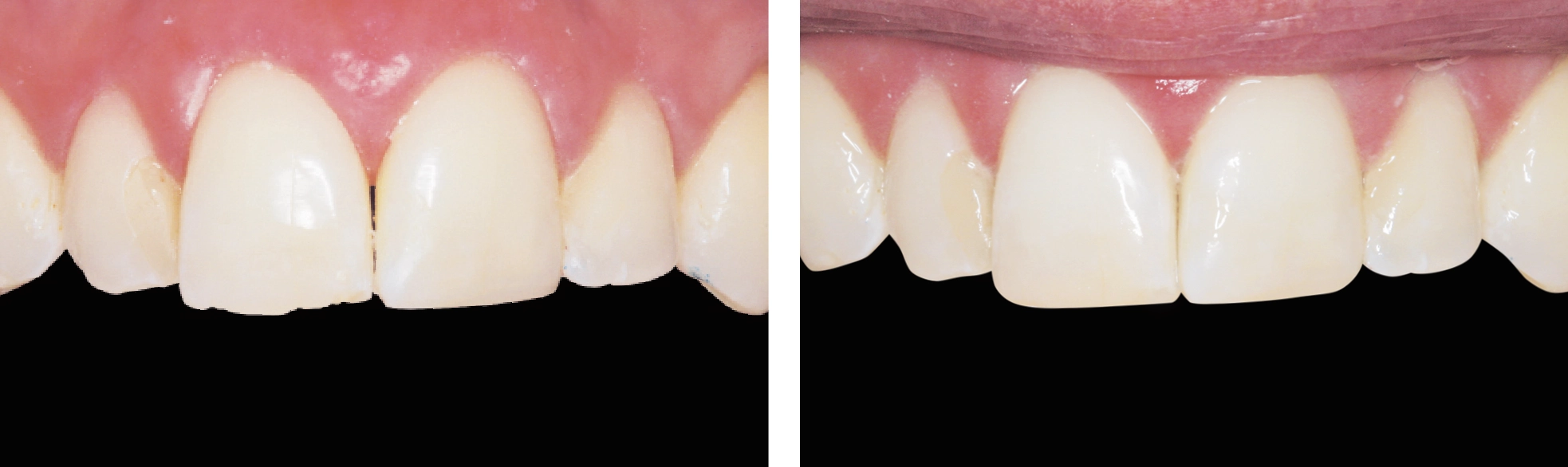
“Innovative chemistry within Evanesce enables anatomy to be sculpted without slumping, and the material can be adapted to the preparation or thinned out along the surface without fear of pull-back or sticking. This allows you to easily sculpt intricately detailed anatomy and place thin layers without worrying about slumping.” – Bob Margeas, DDS

Dentistry and photography courtesy of Bob Margeas, DDS

BLEND WITH NATURAL TOOTH STRUCTURE
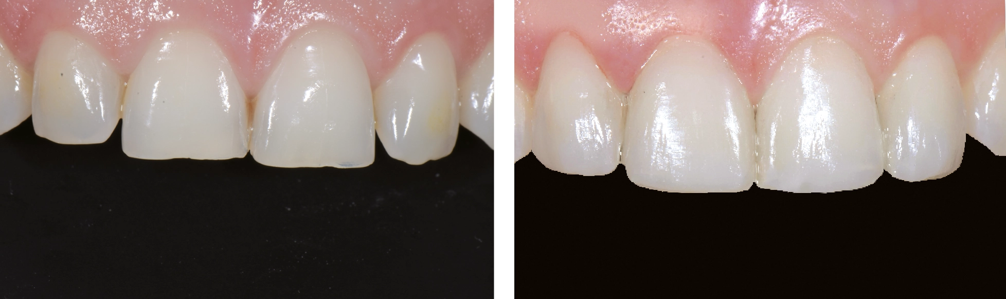
“The key criteria for composite resins to blend into natural tooth structure undetectably, is the adequate amount of opacity in the resin itself at a given thickness. Evanesce dentin shades with 90% opacity, along with enamel shades having an 80% opacity, provide the correct recipe to block out the tooth/composite transition, allowing the restorative material to blend seamlessly into the tooth structure to ensure invisible margins. This is a result of its nano-pigments and fillers that maximize its refractive and reflective indices. For all my direct restorative cases, I have absolute confidence in Evanesce to flawlessly mimic the beauty of the natural tooth in any direct restorative scenario.” – David Chan, DMD, AAACD

Dentistry and photography courtesy of David Chan, DMD, AAACD
Dr. Chan earned his DMD degree in 1989 from Oregon Health Sciences University. He maintains a full-time practice focused on cosmetic and comprehensive dentistry located in Ridgefield, Washington. He is the past President and an Accredited member of the American Academy of Cosmetic Dentistry.
DESIRABLE PHYSICAL PROPERTIES
“Strong and versatile, this nano-hybrid composite features the characteristics of a direct restorative material intended to replace natural tooth structure and is truly universal. It performs equally as well in anterior applications as it does in posterior ones. With a low shrinkage rate of 2% and high compressive and flexural strengths, Evanesce is ideally suited for the most challenging direct restorative indications.” – Mark Bowes, BDS Rand
Share This Article! Choose Your Platform
Related Articles













