
Ask the Expert: An Interview with Ed Lowe, DMD, AAACD on Soft Tissue Diode Lasers
By Ed Lowe, DMD, AAACD
Question
What type of clinical procedures can be done with a soft tissue diode laser?
Answer
- Gingivectomy and Gingioplasty
- Frenectomy
- Crown Lengthening
- Treatment of Soft Tissue Lesions, such as fibromas, papillomas, and mucoceles
- Excisional or Incisional Biopsies
- Hemostasis
- Implant Uncovering
- Treatment of Peri-implantitis
- Treatment of Aphthous Ulcers & Herpetic Lesions
- Periodontal Pocket Therapy
- Depigmentation
- Desensitization
- Operculectomy
It’s important to note that while soft tissue diode lasers are valuable tools in dentistry, proper training and adherence to safety protocols are essential for their effective and safe use. Dental professionals should stay current with the latest guidelines and advancements in laser dentistry and ensure compliance with regulatory standards in their jurisdiction.
Question
What are the advantages of using a soft tissue diode laser over a scalpel or electrosurgery?
Answer
I will separate this question into two parts starting with the soft tissue diode laser vs. the scalpel. Diode lasers offer several advantages over traditional instruments such as a scalpel in various dental procedures.
Here are some key advantages:
Precision:
Diode lasers provide precise and controlled cutting, allowing for delicate and intricate soft tissue procedures. This precision is particularly valuable in cosmetic and periodontal surgeries.
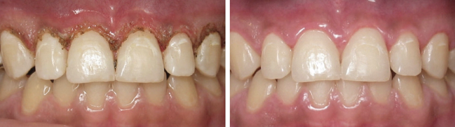
Minimized Bleeding:
Diode lasers offer excellent hemostasis, coagulating blood vessels as they cut. This results in reduced bleeding during and after procedures, contributing to a clearer surgical field and better visibility.
Reduced Discomfort:
Laser procedures are often associated with less postoperative pain and discomfort compared to traditional methods. The laser’s ability to seal nerve endings and blood vessels can contribute to a more comfortable recovery for patients.
Faster Healing:
The precise nature of diode laser incisions can promote faster healing and tissue regeneration. This can result in shorter recovery times for patients.
Minimal Swelling:
Soft tissue diode lasers typically cause less trauma to the surrounding tissues, leading to reduced post operative swelling compared to traditional scalpel surgeries.
Reduced Need for Anesthesia:
The use of a diode laser may reduce the need for local anesthesia, especially for minor soft tissue procedures.
Versatility:
Diode lasers are versatile and can be used for a wide range of soft tissue procedures, including gingivectomies, frenectomies, crown lengthening, and more. Their flexibility makes them valuable tools in various dental specialties.
Improved Sterilization:
The high temperatures generated by the laser during cutting contribute to improved sterilization of the treated area, reducing the risk of infection.
Enhanced Patient Experience:
Patients may perceive laser procedures as less invasive, leading to increased comfort and satisfaction, contributing to an overall positive patient experience.
Ease of Use:
Diode lasers are user-friendly and offer ease of use for dental professionals. They often come with customizable settings, allowing practitioners to tailor the laser’s parameters to specific procedures and patient needs.
Soft tissue diode lasers and electrosurgery are both tools used in dentistry for various soft tissue procedures, and each has its advantages.
Some advantages of using a soft tissue diode laser over an electrosurgery unit include:
Precision and Control:
Diode lasers offer precise and controlled cutting, making them suitable for delicate and intricate soft tissue procedures. Electrosurgery, while effective, may be associated with less precision.
Minimized Tissue Charring:
Diode lasers typically result in minimal tissue charring compared to electrosurgery. Reduced charring can contribute to better healing and esthetic outcomes.
Reduced Post-operative Discomfort:
Soft tissue diode lasers often cause less post-operative discomfort compared to electrosurgery. The laser’s ability to seal nerve endings and blood vessels can result in a more comfortable recovery for patients.
Less Tissue Distortion:
Diode lasers cause minimal tissue distortion, preserving the natural architecture of the treated area. This can be particularly important in cosmetic and periodontal surgeries.
Hemostasis without Contact:
Diode lasers provide excellent hemostasis without direct contact with the tissue. In electrosurgery, tissue contact is necessary for coagulation, which can sometimes lead to tissue sticking.
Reduced Risk of Tissue Necrosis:
The reduced thermal damage associated with diode lasers minimizes the risk of tissue necrosis, contributing to healthier healing and potentially faster recovery.
Ease of Use:
Diode lasers often come with customizable settings, allowing practitioners to tailor the laser to
specific procedures and needs of the patient.

ABOUT THE AUTHOR
Dr. Edward Lowe, B.Sc., D.M.D., is a 1986 graduate of UBC Dentistry and owns a private practice devoted to functional aesthetic dentistry in downtown Vancouver, BC. He is an accredited member of the American Academy of Cosmetic Dentistry and has been the editor-in-chief of the Journal of Cosmetic Dentistry for the past 14 years. Dr. Lowe is a published author, mentors the TEST Vancouver Study Club and lectures internationally on comprehensive restorative & aesthetic dentistry.
Share This Article! Choose Your Platform
Products Mentioned in this article
Related Articles
Ask the Expert: An Interview with Nate Lawson, DMD, PhD on Dual-Cure Bulk Fill Composite
By Nate Lawson, DMD, PhD
What is an universal adhesive? A “universal” adhesive is not a technical term but rather a clinical term. It implies that an adhesive can be used with or without phosphoric acid on dentin or enamel. In scientific writing, these adhesives are sometimes referred to as mild self-etch adhesives because they have a slightly less acidic pH (around 3) than typical self-etch materials (around 2).
Ask the Expert: An Interview with Nate Lawson, DMD, PhD on Universal Adhesives
By Nate Lawson, DMD, PhD
What is an universal adhesive? A “universal” adhesive is not a technical term but rather a clinical term. It implies that an adhesive can be used with or without phosphoric acid on dentin or enamel. In scientific writing, these adhesives are sometimes referred to as mild self-etch adhesives because they have a slightly less acidic pH (around 3) than typical self-etch materials (around 2).
Take 5: 5 Dental Professionals’ Take on Bluewave™ Soft Tissue Diode Laser
5 Dental Professionals Take On Bluewave™ Soft Tissue Diode Laser.





