
Gingival Sculpting with a Soft Tissue Diode Laser
With today’s selfie culture, more and more patients are requesting improved or idealized cosmetics. Often times what appears to be small changes can give big results and happy patients.
Evaluating the gingival architecture is an important component of every smile design. When the gingival zeniths are asymmetric across the midline, the smile can appear unpleasing to the eye. Performing gingival sculpting will enhance the smile. Gingivectomy is a surgical procedure of excising some of the free gingival tissue to create a new, more apical gingival margin. It is imperative to be mindful of the biological width when considering gingival sculpting. The biologic width should not be violated. Biologic width is about 2mm which consists of about 1mm of epithelial tissue and 1mm connective tissue attachment. Encroaching on the biologic width may cause gingival recession or gingival rebound and compromise the health of the tissue. Maintaining an adequate zone of keratinized tissue must also be considered.
This case illustrates a common cosmetic concern I see in my practice. “I want my smile to look better. I’ve whitened my teeth and I still don’t love the way my teeth look.” This patient has very healthy and nicely shaped teeth but is dissatisfied with their appearance. Smile evaluation showed she had a black triangle between her central incisors. She also asymmetry of her gingival with her left central and lateral incisors having lower gingival margins and zeniths than her right central and laterals. (FIG. 1)

Pre-op. Note black triangle between the central incisors and the asymmetry of the gingiva with lower gingival margins on the left central and lateral incisor.
Simple and conservative procedures can get her the results she desires without the need for removing tooth structure for more extreme measures like veneers. The patient had more tooth whitening in-office. The black triangle was closed with direct composite bonding. Additionally, gingival sculpting was performed with the Bluewave diode laser (Clinician’s Choice). (FIG. 2)

After whitening and black triangle closure, gingival sculpting is performed with the Bluewave diode laser.
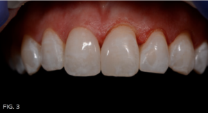
Gingivectomy can be performed with several different methods. In the past, I have used a scalpel and also electrosurge. Both have disadvantages including shrinkage of tissue during healing. The diode laser is a good choice. Diode laser is highly absorbable by hemoglobin and melanin that allows easy manipulation of soft tissue during gingival recontouring, and improved epithelization and healing of the wound. There is no bleeding and minimal pain during the procedure. The tissue healing is very predictable with no shrinkage. These, along with precise control, are all benefits of using a diode laser for soft tissue surgery. Precise placement of the margin can be accomplished. (FIG. 3)
The Bluewave diode laser is a great choice. It is powerful and simple to use. It is easily portable from operatory to operatory. I like the magnetic handpiece rest.
Soft tissue laser surgery has some disadvantages that include the cost, buying a laser device is expensive comparing it to scalpel. The Bluewave diode is at an affordable price point and can be used for many soft tissue laser procedures.
The one week post-op photo shows the improved smile note the healing of the gingiva at the precise position of the laser surgery. (FIG. 4) These conservative procedures achieved the esthetic results the patient desired while being mindful of her long-term dental health.

ABOUT THE AUTHOR
Dr. McMahon enjoys one of the largest cosmetic dental practices in Western Pennsylvania. She is accredited by the American Academy of Cosmetic Dentistry, and a Fellow of the prestigious American Society for Dental Aesthetics and a Fellow in the Academy of General Dentistry. An author and lecturer, Dr. McMahon has devoted her professional career to the pursuit of advanced technologies in cosmetic and minimally invasive dentistry. She is the Director of New Product Evaluation for Catapult Education. She frequently lectures across the United States on minimally invasive dentistry, technology and conservative cosmetics. She has been voted by her peers as a Top Pittsburgh Dentist every year for over 20 years.
Share This Article! Choose Your Platform
Products Mentioned in this article
Related Articles
Take 5: 5 Dental Professionals’ Take on Bluewave™ Soft Tissue Diode Laser
5 Dental Professionals Take On Bluewave™ Soft Tissue Diode Laser.
Ask the Expert: An Interview with Ed Lowe, DMD, AAACD on Soft Tissue Diode Lasers
By Ed Lowe, DMD, AAACD
What type of clinical procedures can be done with a soft tissue diode laser?
Treating Decay Subgingivally with the Bluewave™ Soft Tissue Diode Laser
By Fred Peck, DDS, FAACD
Every day, dentists encounter decay in areas of the mouth where the teeth are a challenge to effectively treat, due to the decay extending beneath the gingival tissue. Saving these teeth is beneficial to the patient in maintaining function and esthetics, even more so if it can be done in a cost-effective manner.
Utilizing a Soft Tissue Diode Laser for a Direct Resin Restoration
By Troy Schmedding, DDS, AAACD
Diode lasers are becoming increasingly utilized in dental practices, both because they are less expensive to implement than CO2 and Nd:YAG lasers and due to the wide range of effective treatments afforded by these devices.
Choosing a Laser: What Features Should You Consider? – Clinical Article
Having the right technology in your office is essential for running an efficient, state-of-the-art dental practice. In some cases, it can mean the difference between referring a patient to a specialist and being able to deliver same-day-dentistry in the environment where your patient is most comfortable. On the business side, the cost of this additional technology must be weighed against its return on investment and the speed at which this occurs. From the clinical perspective, consider what advantages this technology will bring for the clinician and the patient, and how will it improve the procedural outcome.
Choosing a Laser: What Features Should You Consider?
Choosing a Laser: What Features Should You Consider? Having the right technology in your office is essential for running an efficient, state-of-the-art dental practice. In some cases, it can mean the difference between [...]








