
Ask the Expert: An Interview with Jihyon Kim, DDS
on Polishing Systems
By Jihyon Kim, DDS
Question
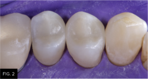
What are the benefits of achieving a high gloss polish with restorations?
Answer
Question
When finishing composite restorations, what is your preferred sequence and why do you use each instrument?
Answer
Question
What are the most important features most dentists look for in a quality polishing system?
Answer
Question
For those dentists who are looking for a fast result without compromising the restoration, what would you suggest?
Answer
and uses without fraying.
Question
With your extensive experience in adhesive dentistry, do you have any other tips to offer clinicians for improving their restorative outcomes?
Answer

ABOUT THE AUTHOR
Dr. Jihyon Kim is a 1999 graduate of the University of Washington School of Dentistry. With a passion for concepts of occlusion and adhesive dentistry, she has pursued advanced training through Dawson Academy, Kois Center, Spear Education, and the Alleman Biomimetic Mastership. Today, she practices clinical dentistry full-time while teaching hands-on courses in biomimetic dentistry. She has published multiple articles on direct composite dentistry and lectured extensively throughout the United States and Canada. As Director of the Institute of Injection Overmolding in Seattle, Washington, Dr. Kim’s focus is on delivering an advanced, intuitive, and intimate hands-on learning experience to clinicians seeking excellence in restorative dentistry.
Share This Article! Choose Your Platform
Related Articles
Ask the Expert: An Interview with Nate Lawson, DMD, PhD on Universal Adhesives
By Nate Lawson, DMD, PhD
What is an universal adhesive? A “universal” adhesive is not a technical term but rather a clinical term. It implies that an adhesive can be used with or without phosphoric acid on dentin or enamel. In scientific writing, these adhesives are sometimes referred to as mild self-etch adhesives because they have a slightly less acidic pH (around 3) than typical self-etch materials (around 2).
Ask the Expert: An Interview with Matthew R. Miller, DDS on Sectional Matrix Systems
By Matthew R. Miller, DDS
There are many sectional matrix systems on the market today. Are some better than others? What should I be looking for when choosing a sectional matrix system?
A Stress-free Approach to Tooth Isolation
By Anthony Mennito, DMD
In my opinion, we are in a golden age of dentistry. The materials we have at our disposal are incredibly esthetic, increasingly durable, and can be placed with minimal to no removal of healthy tooth structure. So why are we so stressed out all the time?
Ask the Expert: An Interview with Ed Lowe, DMD, AAACD on Soft Tissue Diode Lasers
By Ed Lowe, DMD, AAACD
What type of clinical procedures can be done with a soft tissue diode laser?
Take 5: 5 Restorative Clinicians’ Take on True Dental Dam
5 Restorative Clinicians' Take On True Dental Dam.
Closer Look: True™ Dental Dams Stand Out From the Crowd
By Nate Lawson, DDS, MA, PhD
The Clinician’s Choice rubber dams stand out among others due to their versatility, tear resistance, flexibility, and color.











