
Ask the Expert: An Interview with Nate Lawson, DMD, MA, PhD on Composite Polishers
Question
What are some tricks to achieve a smooth composite restoration?
Answer
Question
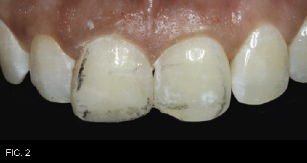
How do you achieve a final shape of composite?
Answer
Even after applying a smooth layer of composite, the final shape of the restoration may not match the contours of the adjacent teeth. A simple way to improve the shape of a restoration is to draw the line angles of the tooth on the contralateral or neighboring tooth and then draw the desired line angles on the restoration. A simple way to imagine the line angles on an incisor is that there are 2 line angles that run near the mesial and distal aspects of the tooth and then there are three planes that run horizontally on the facial surface of the tooth. Therefore, the tooth can be divided into a 3 x 3 grid with the pencil marks. The use of a finishing disc, such as the Contours Finishing & Polishing Discs (Clinician’s Choice) is a great tool for defining line angles drawn with pencil to reshape the tooth. The finishing disc is placed parallel with the facial plane on one side of the pencil mark. On the other side of the pencil mark, the finishing disc is angled to be parallel with the interproximal plane. The use of finishing discs to shape a tooth is superior to the use of diamond burs as they tend to leave an irregular or flat outline. Finishing discs are flexible so they will inherently produce a smooth outline. (FIG. 2)
Question
Why is it important to polish composites?
Answer
Question
What is the difference between the different steps of a composite polishing system?
Answer
Many polishing systems will include multiple steps. There is no exact definition of what constitutes a pre polisher and what constitutes a high shine polisher; however, I think of the pre-polishers as instruments that remove large scratches caused by burs, diamonds, or coarse polishing discs, and high shine polishers as instruments, which further smooth a surface to allow for a high gloss. Clinically, the pre-polishers are helpful to use to remove any irregularities, scratches, sharp points, or edges out of a composite restoration. The high shine polisher can take a dull looking restoration to a high degree of gloss.
In general, a polisher is composed of abrasive particles embedded into a binder that is held to a mandrel. Polishers can smooth a surface more than a diamond rotary instrument with similar sized abrasives because the abrasives are less rigidly bound. The initial steps of polishing contain larger size abrasives and the later steps of a polisher contain smaller size abrasives. The larger abrasives produce larger scratches and the smaller abrasives produce extremely fine scratches. Therefore, it is important for the clinician to use the polishers in the correct order. Also, the abrasives in a polisher may be composed of diamonds, alumina, or silicon carbide. Generally, diamond is the hardest abrasive and should allow the most efficient polish.
The binder used for polishers also varies. Some polishers contain resinbased binders and others contain rubber-based binders. Resin-based binders will wear away over time exposing new abrasive. This can allow polishers with resin-based binders to remove material more efficiently; however, it will limit the lifetime of the polisher. The rubber-based binder used for composite polishers can also vary in firmness. Stiffer polishers are more aggressive.
Question
What is special about the A.S.A.P. Polishers?
Answer
The A.S.A.P. Polishers are 2-step composite polishers. The first step contains 44 micron diamond abrasives and the second step contains 3–6 micron abrasives. The A.S.A.P. Polishers are innovative in their design in that they are spiral wheels rather than points, cups, or discs. (FIG. 3) The spiral wheel allows these polishers to access not only flat areas of the restoration, but also difficult to reach areas, such as the embrasure areas and between proximal line angles. The binder used for this system contains sufficient thickness such that the pre-polisher is effective at smoothing a composite. The high shine polisher produces a very high polish as demonstrated in our laboratory testing.
Question
What research have you completed with A.S.A.P. Polishers?
Answer
In our laboratory, we measured the gloss produced by the A.S.A.P. Polishers using a gloss meter. Blocks of Evanesce composite were produced in molds and cured with a dental curing light. The surface of the blocks of composite were standardized by using 320 grit sandpaper. The specimens were then polished with two different polishing systems: discs of Enhance and PoGo (Dentsply Sirona) and A.S.A.P. Polishers (Clinician’s Choice). Each specimen was wet polished by hand with an electric handpiece at 10,000 rpms. A new polisher was used for each specimen. Specimens were polished in 15-second increments for a total of 45 seconds per step. The data presented in the graph below demonstrated that A.S.A.P. Polishers achieved a high gloss even within 15 seconds of polishing. (FIG. 4)

ABOUT THE AUTHOR
Nate Lawson DMD, MA, PhD is the Director of the Division of Biomaterials at the University
of Alabama at Birmingham School of Dentistry and the program director of the Biomaterials residency program. He graduated from UAB School of Dentistry in 2011 and obtained his PhD in Biomedical Engineering in 2012. His research interests are the mechanical, optical, and biologic properties of dental materials and clinical evaluation of new dental materials. He was the 2016 recipient of the Stanford New Investigator Award and the 2017 3M Innovative Research Fellowship both from the American Dental Association. He served on the American Dental Association Council of Scientific Affairs and is on the editorial board of The Journal of Adhesive Dentistry and Compendium. He has lectured nationally and internationally on the subject of dental materials. He also works as a general dentist in the UAB Faculty Practice.
Share This Article! Choose Your Platform
Products Mentioned in this article
Related Articles
Ask the Expert: An Interview with Nate Lawson, DMD, PhD on Dual-Cure Bulk Fill Composite
By Nate Lawson, DMD, PhD
What is an universal adhesive? A “universal” adhesive is not a technical term but rather a clinical term. It implies that an adhesive can be used with or without phosphoric acid on dentin or enamel. In scientific writing, these adhesives are sometimes referred to as mild self-etch adhesives because they have a slightly less acidic pH (around 3) than typical self-etch materials (around 2).
Ask the Expert: An Interview with Nate Lawson, DMD, PhD on Universal Adhesives
By Nate Lawson, DMD, PhD
What is an universal adhesive? A “universal” adhesive is not a technical term but rather a clinical term. It implies that an adhesive can be used with or without phosphoric acid on dentin or enamel. In scientific writing, these adhesives are sometimes referred to as mild self-etch adhesives because they have a slightly less acidic pH (around 3) than typical self-etch materials (around 2).
Ask the Expert: An Interview with Matthew R. Miller, DDS on Sectional Matrix Systems
By Matthew R. Miller, DDS
There are many sectional matrix systems on the market today. Are some better than others? What should I be looking for when choosing a sectional matrix system?
Ask the Expert: An Interview with Ed Lowe, DMD, AAACD on Soft Tissue Diode Lasers
By Ed Lowe, DMD, AAACD
What type of clinical procedures can be done with a soft tissue diode laser?
Closer Look: True™ Dental Dams Stand Out From the Crowd
By Nate Lawson, DDS, MA, PhD
The Clinician’s Choice rubber dams stand out among others due to their versatility, tear resistance, flexibility, and color.
Ask the Expert: An Interview with Bob Margeas, DDS on Universal Composites
How do you evaluate the esthetic potential of a composite?










