
Ultimate Aesthetics Using Non-VITA Shades for Diastema Closure
Spaces between anterior teeth are a common occurrence, and for some, this can be an unattractive feature that they may be looking to correct, especially spaces in the midline. A practical, non-invasive, economical way to close those spaces is with the use of direct resin composites.
Translucency exists to some extent in all teeth. The degree of translucency is determined by extension of the dentin proximally and incisally and the characteristics of the enamel surrounding the dentin. Fortunately, in most cases, Class III and IV restorations, as well as diastema closures, can be achieved with the use of a single enamel or body (universal) opacity.
Areas of higher proximal and incisal translucency can present significant restorative challenges when the need for increased translucency exceeds that of the “enamel like” composite.
These restorations require the use of a composite of lower opacity than the typical VITA enamel shades. With the popularity of teeth whitening ever increasing, so has the need to account restoratively, if necessary, for the diminished translucency seen in the whitened tooth. Therefore it is necessary to consider including non-VITA enamel composites of varying translucencies in one’s direct restorative inventory.
CASE PRESENTATION

Pre-operative view of the patient who presented with a diastema closure between teeth #8 and #9.
FIG. 1 shows a diastema closure that does not reflect the translucency of the restored tooth due to the use of a composite that was too opaque. The solution was to replace these diastema restorations with a bleach non-VITA shade of enamel composite. Rubber dam isolation protects against moisture and blood contamination to ensure ideal conditions for adhesive placement and composite manipulation. Once the old restorations are removed and the teeth are rendered back to their original state, the degree of proximal and incisal translucency can be evaluated. (FIG. 2)

Following rubber dam placement, the old restoration was removed allowing for the proximal and incisal translucency to be evaluated.
In this case, an enamel composite with more translucency than a VITA enamel shade would be necessary. Evanesce™ Enamel FX White (Clinician’s Choice®) was chosen for its 70% opacity. If the translucency was higher, the Evanesce FX Enamel Incisal at 60% opacity or Evanesce FX Enamel Clear at 50% opacity may have been necessary.
The mesial, lingual, and full-facial surfaces of both teeth were etched with 35% phosphoric acid followed by the application of MPa™ Max Adhesive (Clinician’s Choice®). After air-thinning and polymerization of the adhesive, one increment of Evanesce Enamel FX White was adapted to tooth #8. It was adapted to the desired contour and tooth width using a thin bladed REJ #04 composite instrument (Clinician’s Choice®) blending it across the facial surface (FIG. 3) then light-cured.

Evanesce Enamel FX White (Clinician’s Choice) was chosen for its 70% opacity. Using a #04 REJ Instrument (Clinician’s Choice), one increment is blended across the facial surface.
A mylar strip was not necessary as the sculptability of the Evanesce Enamel FX White composite allowed for its careful manipulation and contouring to its desired form prior to polymerizing. Tooth #9 was subsequently restored using two increments of Enamel FX White (Clinician’s Choice®). After the second increment was thinned across the facial enamel with an REJ #04 composite instrument (FIG. 4), a #3 composite brush lightly coated with ResinBlend LV (Clinician’s Choice®) was used to gently smooth and blend the FX White into the surrounding tooth. (FIG. 5)

A #3 composite brush, lightly coated with ResinBlend LV (Clinician’s Choice) was used to smooth and blend the Evanesce Enamel FX White into the surrounding tooth.
Ideal proximal contact and gingival embrasures were established using the pull-through technique. (FIG. 6) This technique requires a mylar strip to be pulled facially while maintaining light pressure on the lingual, drawing the composite interproximally.

A mylar strip is used to establish ideal proximal contact and gingival embrasures using the pull-through technique.
Any subgingival excess was removed and final blending of the composite was achieved with an REJ #04 composite instrument (Clinician’s Choice) before polymerizing. As the two restorations were lightly connected after polymerization, dental floss was used to separate them from each other (FIG. 7) alternatively, they can be gently torqued apart with an instrument.
Due to careful placement and contouring of the restoration before light-curing (FIG. 8), the only finishing required was the adjustment of the incisal embrasures using a finishing and polishing disc. (FIG. 9)
A high luster polish was quickly attained using the 2-step diamond-impregnated A.S.A.P.™ All Surface Access Polishers (Clinician’s Choice®). The purple Pre-polisher (FIG. 10) was used in a wiping motion at 8000 RPM over each restoration to create a smooth surface. This was immediately followed by the peach Final High Shine Polisher used in the same fashion to create a very high polish in under one minute.

A.S.A.P. Polishers were utilized, starting with the purple Pre-polisher at 8000 RPM in a light wiping motion, followed by the peach Final High Shine Polisher to create a very high polish.
CONCLUSION
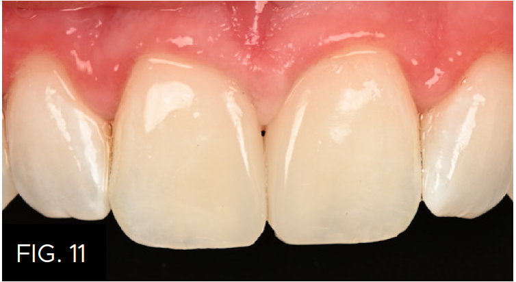
The final restorations mimic the existing translucency of the proximal surfaces of #8 and #9, (FIG. 11) made possible by the 70% opacity Evanesce Enamel White (Clinician’s Choice®), one of three available non-VITA enamel opacities from the Evanesce line of composites. While the majority of Class III and IV composites as well as diastema closures are restored using VITA single shade opacities, there is a need, from stand-alone restorations such as diastema closures to small enamel defects, for enamel shades of decreasing opacities to account for the varying translucencies that can occur in the natural anterior dentition.

ABOUT THE AUTHOR
Dr. Marcos Vargas attended Cayetano Heredia University School of Dentistry in Lima, Peru and graduated in 1985. He spent two years, 1990 to 1992, in the AEGD program at the Eastman Dental Center in Rochester, New York. Dr. Vargas received his Certificate and Master’s Degree in Operative Dentistry in 1994 at the University of Iowa where he is currently a Professor in the Department of Family Dentistry. Dr. Marcos Vargas has published extensively in the area of dental adhesion and resin composites for over 25 years. He maintains a private practice limited to Operative Dentistry with an emphasis on esthetic dentistry.
Products Mentioned in this article
Related Articles
Creating Natural Restorations for Pediatric Trauma Teeth
By Tiffani Dunn, DMD, AAACD
Developing a systematic approach and mastering the techniques for anterior composite restorations can be a gamechanger for the real-world clinician. There are many different and correct approaches to have a predictable outcome.
An Ultra-conservative Path Leads to Unparalleled Patient Satisfaction
By Ellen Katz, DDS
There is a feeling of immense satisfaction when you complete an esthetic case, and the patient cannot stop smiling because you have delivered exactly what they had envisioned. It can be challenging for a patient to communicate what it is that they do not like about their smile, leaving the possibility that the clinician does not completely understand what procedure to perform. It takes active listening, restating, rephrasing, and follow-up questioning to clarify what vague description of dislike for their smile may be.











