
Master the Art of Occlusion While Building Confidence
with Dean Vafiadis, DDS
For the past 15 years, the Full Mouth Rehabilitation program at NYU has delivered on their mission to train general dentists from around the country in a philosophy that centers around patient care with comprehensive treatment plans to increase confidence and deliver more predictable results. They teach this confidence with repetition of sound principles that have been tried and tested for over 60 years by the 25+ faculty over the course of their careers.
Dr. Dean Vafiadis received his dental degree and Prosthodontics specialty training at New York University College of Dentistry and is the director and innovator of the Full Mouth Reconstruction CE Course at NYU, established in 2008. In addition to FMR, he is also the founder of the New York Smile Institute, which is an educational center, full-service laboratory and learning facility, as well as a private practice location for a multi-specialty practice for Implant and Aesthetic Dentistry.
“The FMR program is truly transformative,” says Dr. Vafiadis. “Our occlusion course provides a unique curriculum that helps the general dentist build confidence to communicate with their patients, treat complex cases with predictability, and incorporate the latest technology to bring everything together.”
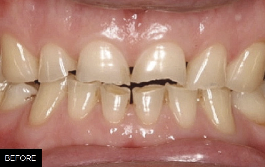
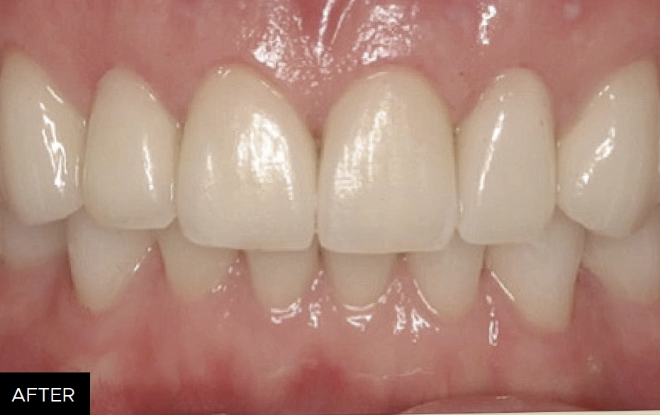
With 3 course levels and each level presented over 4 days in small group settings, one-on-one education is provided with live treatment for dentists to practice what they have learned. Level 1 teaches dentists Occlusion Philosophy, Aesthetic Designs, and Implant Prosthetics and the Business of Dentistry. Level 2 enhances and builds more on the Occlusion Philosophy, Advanced Aesthetics, Anterior and complicated Implants and Motivational Dentistry and Smile Simulations and Digital Designs. Level 3 is a one-on one full upper and lower performed on a live patient with Dr. Dean and his faculty. The case is completed from start to finish at the highest level of occlusion and aesthetics.
“We all need to advance ourselves no matter what stage of our careers we may be at. As well as accept that we should never stop learning.” – Dr. Michael Klein, Prosthodontist NYC
The FMR faculty, a stellar lineup of dedicated and passionate educators, revel in the opportunity to share their experiences in this area with participants and offer support, guidance, and the confidence to tackle even the most difficult cases.
This is evident based on the countless testimonials that participants have shared with the FMR team, including this one from Dr. Michael Klein, a Prosthodontist in NYC: “I want to thank you for opening me up to the FMR, four-day course. I enjoyed it so much and picked up so many ideas. When we have been practicing dentistry for a long time, most dentists resist trying to better their skills and knowledge. We all need to advance ourselves no matter what stage of our careers we may be at. As well as accept that we should never stop learning. Your FMR course, the staff, and your leadership is a breath of fresh air that motivates all who attend.”
Whether you have been practicing for 5 or 25 years, this program is ideal for any general dentist who is looking to master the art of occlusion, learn new techniques, and grow their practice.
To learn more about the FMR program and register for an upcoming course, visit www.fmrnyc.com.
Share This Article! Choose Your Platform
Related Articles
Magne Education: Shaping the Future of Dentistry
With a distinguished career, spanning over three decades, Dr. Pascal Magne, DMD, PhD has dedicated his expertise to shaping the future of dentistry by teaching groundbreaking techniques in biomimetic restorative dentistry to the next generation of dental professionals.
Clinician’s Choice – A History of Education
2024 will mark the 30th anniversary of my father, Dr. Ronald Jordan’s passing and the inception of Clinician’s Choice® Dental Products. With these two milestones, I reflect on our history as a company and our “Why”– why Clinician’s Choice exists, and that is, simply put, to support, foster, and innovate dental education in North America.
The American Academy of Cosmetic Dentistry is Celebrating a Milestone Anniversary
With 2024 marking the 40th anniversary of the AACD, members are gathering at the Gaylord National Resort and Convention Center in National Harbor, MD on April 3-6, 2024 for the Annual AACD Scientific Session to celebrate this momentous milestone together to “Explore. Dream. Discover.”
The Protocol: A Roadmap to Excellence
With Dr. Rob Ritter & Dr. Christopher Ramsey
With over 46 years of combined dental experience, Dr. Robert Ritter and Dr. Christopher Ramsey are paying it forward by sharing their “tried and true” results with the next generation of dentists.
Stay Ahead of the Pack with The Dental Digest Podcast
With Dr. Melissa Seibert
The Dental Digest podcast is a clinical dental podcast with a mission of helping dentists stay on the cutting edge of evidence-based dentistry. Host and creator Dr. Melissa Seibert has a passion for following evidence-based dentistry, continuing education, and sharing what she has learned with others.
30 Years of Destination CE An Interview with Irene Lamonde
With Irene Lamonde
After more than 32 years as the Clinician’s Choice Continuing Education and Events Manager, Irene Lamonde is retiring this Spring. For the thousands of clinicians and practice staff across North America who have attended one of the company’s hugely popular destination events over the years, rest assured: her legacy of delivering intimate, fun, and highly educational meetings will continue.







