
Using Affinity Crystal and Evanesce Flow in an Injection Molding Technique
By Susan Prater-Kudlats, DMD
The injection molding technique is gaining popularity for dental clinicians due to its wide array of procedural applications. This technique involves injecting a low viscosity resin composite through a transparent silicone index made from a diagnostic wax-up, aiming to replicate the mock-up.
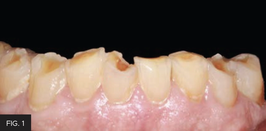
Having the capability to quickly and predictably transfer a mock-up into a patient’s mouth using composite resin allows clinicians to offer their patients alternative treatment options. This procedure provides an effective way to restore multiple teeth in the arch as temporary, transitional and/or permanent restorations. (FIG. 1)

Before photo of a worn/broken lower dentition (#’s 21-27) before using the injection molding technique.
The first step was to design a 3D digital wax-up model of the desired outcome. Then a duplicate model was made with every other tooth eliminated from the initial design. In this case, the smile designs were outsourced to the Evident Hub, utilizing Exocad software. The two models were 3D printed on the Einstein printer by Desktop Health, using Model Z resin. One model with every tooth and one with every other tooth.
The silicone matrices were fabricated by dispensing the Affinity Crystal Clear Matrix Impression Material (Clinician’s Choice) into the Clear Impression Trays (Clinician’s Choice) and seating the material on the respective 3D printed models. (FIG. 2) Once set, the silicone matrices were removed from the clear trays.
Then the matrices were prepared by making a small opening, leading from the intaglio surface of the matrices to the outer surface. The access hole was created using a composite syringe tip to puncture the intaglio surface of the matrix and push it through to the outer surface. The location of the holes are incisal/occlusal to the teeth that are to be restored. First, the access holes for the duplicate model were prepared, leading to tooth #’s 21, 23, 25 and 27, as #’s 22, 24 and 26 were deactivated on this model. The second matrix was of the full wax-up, and vent holes were created leading to #’s 22, 24 and 26.
Minimal preparations were done on all teeth, which includes removal of decay, 2mm bevel preparations with a 7901 flame shaped bur (Brasseler) and air abrasion. PTFE tape was placed on #’s 22, 24 and 26. Etching and bonding procedures were done on #’s 21, 23, 25 and 27. The first matrix was placed and the Evanesce Flow Composite (Clinician’s Choice) was injected through the tiny access holes, followed by polymerization of the composite resin through the clear matrix. (FIG. 3)
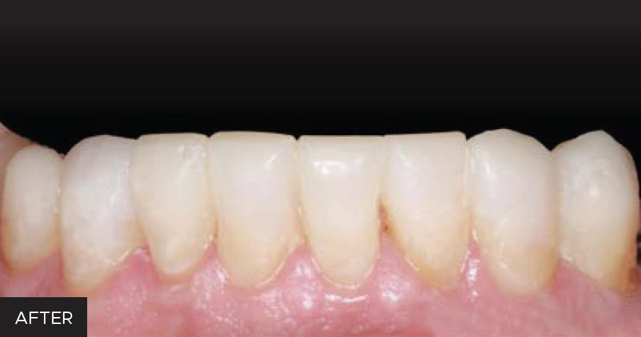
After the first set of teeth were restored, finished with Neodiamond pointed cone bur (ref #3314.10VF) and polished with ceramic polishing wheels: coarse blue (FLW14C), medium pink (FLW14M), and fine gray (FLW14F), the same procedure was done to restore #’s 22, 24 and 26. Finally, the occlusion was adjusted to achieve bilateral simultaneous equal-intensity contacts.

ABOUT THE AUTHOR
Dr. Susan Prater-Kudlats is a general dentist in Jacksonville, Florida with a focus on cosmetic and restorative dentistry, utilizing the latest digital technology. She graduated from the Medical College of Georgia in 2009 and continues to further her education through advanced training courses. She is currently attending the Kois graduate program and is set to graduate May 2024. Dr. Prater- Kudlats also serves as a Key Opinion Leader for Desktop Health, one of the leading dental 3D printing manufacturers. Dr. Prater-Kudlats enjoys sharing her life and love of dentistry via instagram @dr_seuzz. Her creative social media presence has led to speaking engagements on social media branding for dentists featured by Cerec Doctors (CDOCS), as well as opportunities to promote the products that she believes give her the ability to deliver the best patient care possible.
Share This Article! Choose Your Platform
Related Articles
Simple, Beautiful, and Predictable Class V Restorations
By Marc Geissberger, DDS, MA, BS, CPT
In general, people are retaining their teeth much longer than decades past. With this increase of tooth retention, the need to maintain and protect teeth has never been greater. Non-carious Class V lesions have become commonplace.
Using Injection Molding Composite Veneers as a Transitional Guide During Orthodontic Treatment
By Megan Shelton, DMD
It is not uncommon for adolescents to exhibit spacing in the anterior dentition and this can often be the motivating factor in seeking orthodontic treatment. Microdontia, the term used to describe teeth that are smaller than normal, is frequently responsible for this spacing and can lead to a Bolton discrepancy when present in one arch relative to the opposing arch.






